
An omphalocele is a condition where a baby is born with some of their abdominal organs (like intestines or liver) sticking out through the belly button, covered by a thin clear sac. It happens very early in pregnancy when the belly wall doesn’t fully close

Multidisciplinary Evaluation: meet with MFM specialist, pediatric surgeon, neonatologist, and other experts who will care for your baby
Comprehensive Imaging: detailed ultrasounds and other tests when indicated to assess your baby's condition and help plan treatment
Coordinated Delivery Planning: our team works to ensure your baby receives immediate specialized care at birth

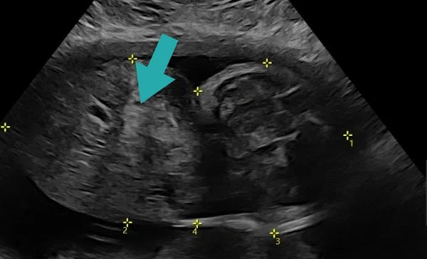
(Pic: fetal ultrasound with arrow demonstrating a giant omphalocele)

The first step in management is neonatal resuscitation and stabilization, making sure the baby is able to breathe appropriately and the heart is functioning properly as these kids are often born with underdeveloped lungs (pulmonary hypoplasia) and may have an associated heart defect
Typically, a special IV is placed called a PICC line which will allow for laboratory evaluation, as well as giving fluids and nutrition
The omphalocele will be evaluated by the surgical team. Local wound care will then be applied to minimize infection and to keep the omphalocele membrane clean and moist
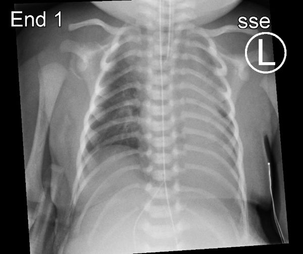
(Pic: chest x-ray demonstrating small lungs in a patient with a giant omphalocele)

Surgical management depends on the size of the omphalocele and the stability of the child. Small omphaloceles can usually be closed primarily, however, if the child has a major congenital heart defect or other severe anomalies, surgical closure might not be possible until later in life. The covering of the omphalocele allows the surgery to be done in a more delayed fashion, and not as an emergency
The pediatric surgical team will discuss options after evaluation of the omphalocele and discussion with the NICU team regarding how the baby is doing after delivery.
Surgical options include:

Primary surgical closure: This can be done when the omphalocele is small or moderate size, and the contents can easily be reduced into the abdomen without compromising the baby due to a heart defect or underdeveloped lungs
Staged repair (Silo Technique / Delayed Closure): When the omphalocele is large and the child is stable otherwise, without significant heart or lung issues, the approach can be taken where the omphalocele is gradually closed over time

Sclerotherapy (Paint and Wait): When the omphalocele is large and/or the baby has other medical issues, like a heart defect or underdeveloped lungs, a topical agent can be applied which will allow new tissue and skin to grow over the omphalocele. The definitive closure is then done months to years later
Watch the video below where Dr. Fenton discusses how to perform wound care on a giant omphalocele.
Watch Dr. Fenton explain how to perform wound care, also known as sclerotherapy or paint and wait, on a child.

Over time, skin grows over the sac, creating a ventral hernia. Eventually, the omphalocele "falls" into the abdomen. When this happens, we ask the parent to wrap the abdomen with an ace wrap to gently keep the omphalocele in the abdomen, allowing the abdomen to grow with the child. With time, the abdomen will be able to accommodate all the organs with closure.
In some cases, consultation with plastic surgery may be needed to make sure there is enough skin for closure as the skin overlying the omphalocele often cannot be used. Rarely, skin expanders are placed under the skin to grow more normal skin for closure.

Definitive abdominal wall reconstruction of a giant omphalocele is done later in infancy or childhood, when the abdomen is able to accommodate the abdominal organs and there is enough "normal" skin for closure.
At Primary Children's Hospital, this is typically done with both a pediatric surgery and pediatric plastic surgeon. It usually is a several hour procedure. Sometimes, a gastrostomy tube is placed at the same time if the child still relies on supplemental tube feedings.
Parents should anticipate a 3 - 5 day hospitalization following surgery, allowing the child to recover bowel function, start nutrition, and for pain control.

Children with a giant omphalocele will need long-term follow-up and support. We have a specialized multidisciplinary care clinic at Primary Children's Hospital for kids born with pulmonary hypoplasia (CDH, large CLM, giant omphalocele, PPH) called the Pulmonary Hypoplasia Program (PHP). Your child will follow-up frequently in this clinic and meet with multiple specialists who are experts in this care and will make sure they are growing and developing normally.
These specialists include:
(pic: Dr. Fenton with a patient who underwent care, including closure, for a giant omphalocele)

Read a family's journey in the care of their daughter with a giant omphalocele treated through the Grant Scott Bonham Fetal Center at Primary Children's Hospital

O Warrior helps families affected by an omphalocele diagnosis by being their destination for support, resources, education and awareness




Copyright © 2025 Grant Scott Bonham Fetal Center - All Rights Reserved.
Phone: (801) 662-6474
Fax: (801) 442-0570
info@grantscottbonhamfetalcenter.org