
Hydrocephalus is a condition in which there is an abnormal accumulation of cerebrospinal fluid (CSF) within the brain’s ventricles (blue areas on illustration). This buildup can increase pressure inside the skull and affect brain development and function. Hydrocephalus can occur before birth (prenatal), at birth, or later in childhood, and may be associated with genetic conditions, structural brain differences, bleeding, infection, or may arise without a clearly identifiable cause.
(Pic: child with hydrocephalus)

Multidisciplinary Evaluation: meet with MFM specialist, neurologist, neurosurgeon, neonatologist, genetic counselors and other experts who may care for your baby
Comprehensive Imaging: detailed ultrasounds and other tests when indicated to assess your baby's condition and help plan treatment
Coordinated Delivery Planning: our team works to ensure your baby receives immediate specialized care at birth

Hydrocephalus is often first suspected during routine prenatal ultrasound when enlarged ventricles (ventriculomegaly) are identified. When present, further evaluation is recommended to better understand the cause and guide care.
A comprehensive prenatal work-up may include:
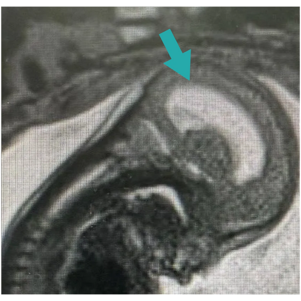
(Pic: MRI of a fetus with hydrocephalus, with the arrow demonstrating an enlarged lateral ventricle)
Outcomes for children with hydrocephalus vary widely and depend on the underlying cause, timing of diagnosis, associated conditions, and access to care.
Ongoing advances in prenatal diagnosis, neurosurgical techniques, and multidisciplinary care continue to improve outcomes and quality of life for affected children.
(Pic: newborn child)

Babies with severe hydrocephalus should be delivered at our center with a neonatal intensive care unit (NICU) that specializes in the care of these infants and where a neurologist (brain doctor), neurosurgeon (brain surgeon) and other pediatric specialists can immediately evaluate your child. The neonatologist is a specially trained pediatrician that will manage your baby’s medications, feeding, and daily needs while in the NICU.
Some children with mild hydrocephalus can be delivered closer to home and then follow-up with pediatric neurology and neurosurgery as an outpatient. Consultation at the fetal center can help determine the best place for delivery.

After birth, infants with suspected or confirmed hydrocephalus undergo clinical evaluation and imaging, typically with cranial ultrasound, MRI, or CT scan.
Treatment depends on the severity and cause but often involves surgical management to relieve pressure and divert fluid. The most common treatments include:
Close monitoring in the neonatal period is essential, including head growth, neurologic status, feeding, and development.
(Pic: illustration of a child with renal agenesis treated in the NICU)

Hydrocephalus is typically a lifelong condition that requires ongoing care. Children benefit from coordinated, multidisciplinary follow-up, which may include:
Families are educated on recognizing signs of shunt malfunction or increased intracranial pressure, such as vomiting, irritability, headache, or changes in behavior or development.




Copyright © 2025 Grant Scott Bonham Fetal Center - All Rights Reserved.
Phone: (801) 662-6474
Fax: (801) 442-0570
info@grantscottbonhamfetalcenter.org