
Congenital High Airway Obstruction Syndrome (CHAOS) is a rare condition present before birth in which a baby’s upper airway (the windpipe or larynx) is partially or completely blocked. This blockage prevents normal movement of fluid out of the lungs during fetal development, causing the lungs to become enlarged and somewhat cystic putting pressure on the heart and surrounding organs often resulting in fluid accumulating in the abdomen (ascites)

Multidisciplinary Evaluation: meet with MFM specialist, pediatric surgeon, neonatologist, and other experts who will care for your baby
Comprehensive Imaging: detailed ultrasounds and other tests when indicated to assess your baby's condition and help plan treatment
Coordinated Delivery Planning: our team works to ensure your baby receives immediate specialized care at birth

CHAOS is typically found during a routine pregnancy ultrasound around 20 weeks of gestation and often thought to be bilateral cystic lung lesions. When this is suspected, we recommend that you have a series of follow-up studies including:
All of this information will help the fetal team give you the most accurate information so that you can make the best possible decision about treatment.
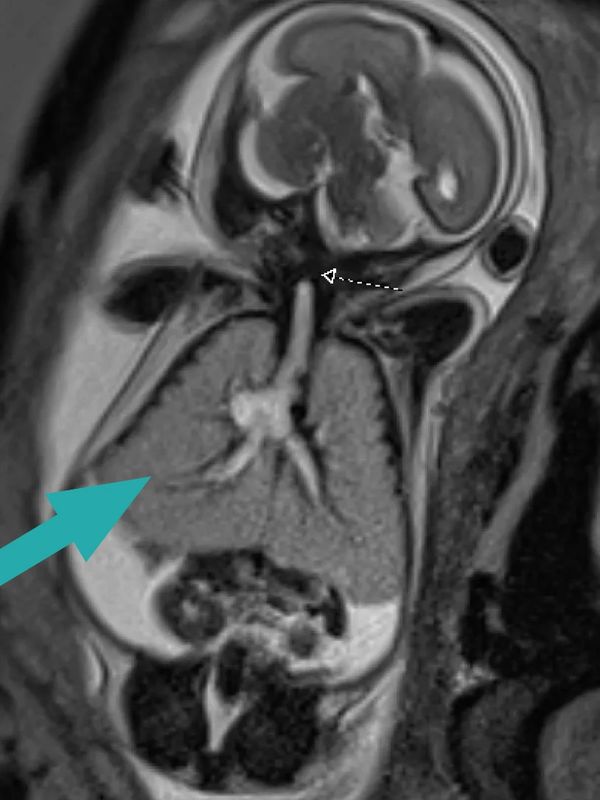
(pic: fetal MRI or a child with CHAOS, the small arrow depicts the area of laryngeal atresia. The large arrow shows the overexpanded lungs)

During normal fetal development, the lungs continuously produce fluid that flows out through the airway and helps the lungs grow and mature. In CHAOS, a partial or complete blockage of the upper airway prevents this fluid from escaping, leading to:
Despite these significant effects, oxygen delivery to the fetus before birth is usually preserved because the placenta, not the lungs, provides oxygen during pregnancy. The greatest risk occurs at delivery, when the newborn must breathe independently but cannot do so if the airway remains obstructed

Prenatal management
(Pic: Fetal team performing an EXIT procedure)

EXIT (Ex Utero Intrapartum Treatment) Delivery
For most fetuses with known complete or severe airway obstruction, delivery is performed using the EXIT procedure. This allows the baby to remain attached to the placenta while the airway is secured, providing oxygen and preventing emergency airway compromise. Airway management during EXIT may include:
(Illustration of an infant undergoing an EXIT to tracheostomy for a condition causing airway obstruction)

Babies with CHAOS should be delivered at our center where an EXIT procedure can be performed to enable safe delivery with an airway. Once the airway is secured, the baby is fully delivered and transferred to the neonatal intensive care unit (NICU) for ongoing care. The neonatologist is a specially trained pediatrician that will manage your baby’s medications, feeding, and daily needs while in the NICU.
Most of these children require a specialized breathing tube called a tracheostomy connected to a machine to assist with breathing (ventilator). Some may also require medications to help maintain a normal blood pressure.
A tube placed through the mouth (oral gastric or OG) all the way to the stomach. This tube will suck out any fluid with in the stomach to prevent your baby from choking or breathing stomach contents into the lungs and to prevent the intestines from becoming too dilated with air.
Your baby will receive fluids and antibiotics through a special IV called a PICC line, initially through the umbilical cord, then placed in one of the limbs. Because the child will not be initially allowed to eat, they will also receive nutrition through the PICC line called TPN, or total parenteral nutrition. TPN contains protein, fat, sugar, vitamins, and minerals and will meet all your baby’s nutritional needs
(Pic: Neonatal care team treating a newborn with CHAOS)

(Pic: Infant with CHAOS undergoing treatment in the hospital)

When a child with CHAOS leaves the hospital, they will need long-term follow-up and support. We have a specialized multidisciplinary care clinics at Primary Children's Hospital for kids born airway and esophageal disease called the Esophageal Airway Center (EAC). Your child will follow-up frequently in this clinic and meet with multiple specialists who are experts in this care and will make sure they are growing and developing normally. Additionally, the Comprehensive Care Team/Trach Vent Clinic will help manage complex respiratory needs.
These specialists include:
(pic: Otto, the first long-time survivor of CHAOS in Utah)
To learn more about Otto and his journey, click here to visit his instagram page!




Copyright © 2025 Grant Scott Bonham Fetal Center - All Rights Reserved.
Phone: (801) 662-6474
Fax: (801) 442-0570
info@grantscottbonhamfetalcenter.org